română
Reducere Mare – Ultimele Zile pentru 20% Reducere!
558ORA 43MINUT 32SECUNDă
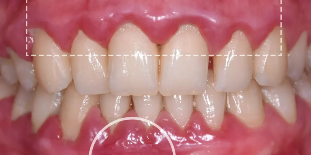
Boala gingiilor, sângerarea gingiilor și cum să-ți salvezi dinții

Boala gingiilor, sângerarea gingiilor și cum să-ți salvezi dinții

9 December Tue, 2025

Ca specialist în sănătatea orală la Milim Dental Bursa, întâlnesc adesea pacienți care se tem mai mult de tratamentul canalului radicular și de plombe decât de adevăratul „ucigaș tăcut” din cavitatea bucală: boala gingiilor. În timp ce cariile afectează dinții individuali, boala gingiilor poate distruge încet osul și țesuturile care țin toți dinții în poziție.

Acest articol explică ce este boala gingiilor, cum este legată de respirația urât mirositoare și pierderea dinților și ce puteți face acasă și în clinică pentru a vă proteja zâmbetul.

Solicitați un Plan de Tratament Gratuit de la Medicii Noștri Experți

Ce este boala gingiilor?

Boala gingiilor începe când placa dentară – un film lipicios de bacterii – se acumulează în jurul dinților și a liniei gingivale.

Există două etape principale:

Gingivită

Gingiile roșii, umflate

Sângerare la periaj sau folosirea aței dentare

De obicei, fără durere

Gingivita este reversibilă cu o curățare bună și îngrijire profesională.

Parodontită

Placa se întărește în tartru (calculus)

Gingiile se desprind de dinți, formând „buzunare”

Osul din jurul dinților se pierde treptat

Dinții pot deveni slabi în timp

Parodontita nu poate fi vindecată complet, dar poate fi stabilizată prin tratament și întreținere adecvată.

De ce sângerarea gingiilor este un semn de avertizare

Mulți oameni din Bursa văd sânge pe periuța de dinți și cred: „Trebuie să periez prea tare, ar trebui să încetez să periez acolo.”

În realitate, de obicei este invers:

Gingiile sângerează deoarece placa și bacteriile le irită.

Evitarea periajului în acea zonă permite acumularea mai multor plăci.

Inflamația se agravează și sângerarea crește.

La Milim Dental Bursa, explicăm că sângerarea gingiilor este modul corpului tău de a spune: ”Te rog, curăță-mă mai bine și caută ajutor profesional.”

Cum amenință boala gingivală dinții tăi

Boala gingivală avansată este una dintre principalele cauze ale pierderii dinților la adulți în întreaga lume. Pe măsură ce osul se pierde, dinții își pierd suportul și pot:

Se deplasează sau ies din poziție

Devin sensibili sau dureroși la mestecat

În cele din urmă devin atât de mobili încât extracția este singura opțiune

Pacienții sunt adesea surprinși când un dinte fără carie trebuie extras pentru că osul din jurul acestuia a dispărut. De aceea spunem:

Plombele și tratamentul de canal salvează structura dintelui.

Tratamentul gingiilor salvează fundația care ține dinții în poziție.

Tratamente de bază pentru boala gingiilor

La Milim Dental Bursa, terapia gingiilor este adaptată stadiului bolii:

Detartraj profesional și lustruire pentru a îndepărta placa și tartrul de deasupra liniei gingivale.

Curățare profundă (planare radiculară) sub anestezie locală pentru curățarea rădăcinilor în pungi mai adânci.

Instrucțiuni detaliate de îngrijire acasă, inclusiv tipul de periuță de dinți, periuțe interdentare și curățarea limbii.

Dacă boala gingiilor este foarte avansată, putem colabora cu parodontologi sau putem lua în considerare proceduri suplimentare. Dar piatra de temelie este întotdeauna o curățare meticuloasă – atât în clinică, cât și acasă.

Periuțe de dinți, paste de dinți și sănătatea gingiilor

Pentru gingiile inflamate, de obicei recomandăm:

O periuță de dinți moale sau extra-moale pentru a evita traumatizarea, dar care să permită o curățare temeinică.

Pastă de dinți cu fluor pentru prevenirea cariei, uneori combinată cu ingrediente antiinflamatoare sau antibacteriene pentru perioade scurte.

Curățare interdentară (ață dentară, periuțe interdentare sau irigator oral) pentru a ajunge în spațiile dintre dinți, unde boala gingiilor începe adesea.

Unii pacienți întreabă despre utilizarea uleiului pentru sănătatea gingiilor. Deși utilizarea uleiului poate ajuta la îndepărtarea unor resturi, nu poate înlocui periajul cu pastă de dinți cu fluor sau tratamentul profesional. Considerați-l opțional, nu esențial.

Boala gingiilor, respirația urât mirositoare și curățarea limbii

Respirația urât mirositoare cronică este adesea legată de boala gingiilor. Bacteriile din pungile gingivale și de pe limbă produc compuși volatili de sulf care miros neplăcut.

Recomandarea noastră standard la Milim Dental Bursa include:

Tratamentul bolii gingiilor prin curățare profesională.

Curățarea zilnică a limbii (racletă pentru limbă sau periuță moale).

Verificarea altor cauze precum cariile, gura uscată sau problemele sinusale.

Terapia de canal, obturații și albire în gurile cu afecțiuni gingivale

Înainte de procedurile estetice precum albirea dinților, verificăm întotdeauna sănătatea gingiilor.

Albirea pe gingii inflamate poate crește sensibilitatea și disconfortul.

Obturațiile și tratamentele de canal în zone cu infecție activă pot avea un prognostic mai prost dacă boala gingivală nu este controlată.

De aceea, adesea începem orice plan de îmbunătățire a zâmbetului cu o evaluare completă a sănătății gingiilor și a cavității orale, apoi abordăm nevoile urgente precum cariile profunde sau terapia de canal, și abia apoi trecem la proceduri cosmetice.

Cum vă puteți ajuta să vă salvați dinții

Pentru a vă proteja gingiile și dinții, puteți:

Periați de două ori pe zi cu o perie moale și pastă de dinți cu fluor.

Curățați spațiile dintre dinți o dată pe zi.

Curățați limba ușor pentru a reduce bacteriile și respirația urât mirositoare.

Evitați fumatul, care este un factor major de risc pentru boala gingiilor.

Vizitați Milim Dental Bursa cel puțin o dată pe an (sau mai des dacă vi se recomandă) pentru controale și curățări profesionale.

Boala gingiilor este un proces lent, tăcut, dar dacă acționați devreme, vă puteți păstra dinții naturali mulți ani. Combinând îngrijirea profesională cu obiceiuri zilnice simple, vă protejați nu doar zâmbetul, ci și sănătatea generală.

A Milim
Face o mare diferență

Milim Dental Hospital este primul centru dentar care a primit Certificatul de Autorizare pentru Turismul de Sănătate emis de Ministerul Sănătății din Republica Turcia.
Toate Articolele
Abces persistent după tratamentul de canal:
east

Tratament de canal nereușit? Nu-ți scoate dintele încă! Chirurgul oral din Bursa, Dr. Ali Direnç Ulaşan (Milim Dental), explică Apical Resection (chirurgia apicală): ultima șansă chirurgicală de a elimina infecția chisturi persistente și de a-ți salva dintele de la extracție. Află despre procedură, ratele de succes și când este alegerea potrivită.

Sunt fațetele dentare potrivite pentru tine? Cum să determini dacă ești un candidat
east

Fațetele dentare pot transforma zâmbetul tău, dar s-ar putea să nu fie potrivite pentru toată lumea. Dacă iei în considerare fațetele, este esențial să știi dacă ești un bun candidat. Învață despre candidații ideali, cerințele de sănătate orală și considerațiile pentru a decide dacă fațetele sunt potrivite pentru tine.

Celebrități care au folosit Invisalign – și cum poți obține un zâmbet de „covor roșu” cu Dr. Begum Ulaşan
east

Ce celebrități au folosit Invisalign? Află cum poți obține un zâmbet de „covor roșu” în mod discret cu gutiere transparente (Invisalign) și Dr. Begum Ulaşan. Obține detalii despre procesul de tratament și rezultate estetice uimitoare.

De Ce Pacienții
Aleg Milim?

Spitalul Dental Milim nu este doar o clinică—este locul unde încep zâmbetele încrezătoare. Cu o echipă de specialiști de clasă mondială, tehnologie avansată și o abordare orientată către pacient, transformăm îngrijirea dentară într-o experiență premium.
Prioritizăm igiena, confortul și tratamentele personalizate concepute doar pentru tine. Nu te baza doar pe cuvintele noastre—explorează povești reale de la pacienți reali.
Zâmbetul tău perfect începe aici. Alătură-te experienței Milim.

Vezi Toate Experiențele
play_arrow
Dr. Dt. İsmail Özkısaoğlu Medic Dentist
Obține o consultare gratuită
play_arrow
Dr. Dt. Ali Direnç Ulaşan Chirurg Oral, Dentar, Maxilofacial
Obține o consultare gratuită
play_arrow
Dr. Dt. Ali Direnç Ulaşan Chirurg Oral, Dentar, Maxilofacial
Obține o consultare gratuită

Milim Dental Hospital oferă servicii dentare cuprinzătoare într-o facilitate spațioasă de 1.000 m², susținută de o echipă variată de profesioniști dentari, inclusiv specialiști în Chirurgie Orală și Maxilo-Facială, Protetică, Ortodonție, Stomatologie Pediatrică și Parodontologie.

Clinica noastră este autorizată de Ministerul Sănătății din Turcia pentru Turismul Medical Internațional. Acest site este destinat exclusiv informării pacienților din străinătate. Nu conține reclame și respectă reglementările legale de confidențialitate.
Milim Dental Hospital © 2025 - Toate drepturile rezervate.
română
Reducere Mare – Ultimele Zile pentru 20% Reducere!